Non è mai troppo tardi per tornare a sorridere…
Fino a che età si possono raddrizzare i denti? L’ortodonzia nell’adulto
Non è mai troppo tardi per effettuare un trattamento ortodontico!
Anche se ormai non si è più ragazzini, un bel sorriso armonico è il miglior biglietto da visita nella vita sociale e lavorativa, a qualsiasi età. Attualmente, infatti, un numero sempre maggiore di adulti migliora la propria occlusione o corregge il proprio sorriso grazie all’ortodonzia. Gli adulti sono spesso ottimi pazienti perché collaborano (si parla di “motivazione interna”), mantengono un’igiene orale adeguata e comprendono gli sforzi dell’ortodontista.
Nel soggetto adulto ovviamente la crescita è completata e i denti sono definitivi. Se nel bambino si interviene a crescita scheletrica in corso, per correggere problematiche a livello delle ossa mascellari, nell’adulto è
possibile intervenire solo sui denti, ma si possono raggiungere comunque dei risultati eccellenti. Il piano di trattamento, comunque, deve essere finalizzato sempre ad obiettivi specifici, che rispecchino le priorità del paziente.
Ortodonzia in età adulta: quali problematiche si possono risolvere?
• Estetica: frequentemente capita che persone che non hanno portato l’apparecchio fisso durante l’infanzia, decidano di correggere alcuni difetti estetici della propria dentatura
• Masticazione: l’ortodonzia, in realtà, consente anche di prevenire dei problemi molto più seri, ad esempio permette di scongiurare la perdita dei denti, evitando così la necessità in futuro di dover ricorrere a protesi dentaria; diversamente, attraverso lo spostamento ‘’strategico’’ dei denti presenti, di riabilitare la bocca, facendo spazio per i denti mancanti (che sono stati persi prima del dovuto) o, se vi sono le condizioni, chiudendo degli spazi (che sono presenti sempre a causa della perdita di denti prima del dovuto).
Nello specifico, l’ortodonzia in età adulta permette di correggere diverse problematiche:
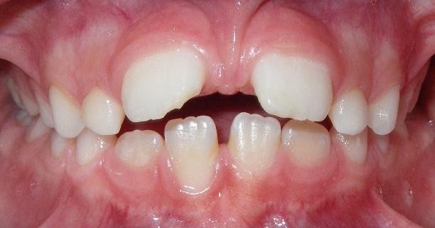
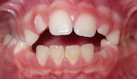
Diastema

Affollamento

Morso crociato

Morso profondo

Morso aperto

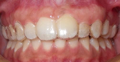
Anche se in età adulta, trattare malocclusioni moderate o gravi è sempre estremamente vantaggioso per il paziente. I denti poco allineati sono più difficili da pulire e un sorriso armonioso è un sorriso anche sano: diminuirà nettamente il rischio di carie e di parodontite; riducendo inoltre lo stress su denti, mascelle e muscoli, diminuirà il rischio di fratture dentali e potrebbero anche migliorare le alterazioni alle articolazioni temporo-mandibolari. A ciò si aggiunga che le problematiche sia estetiche che funzionali legate alle malocclusioni scheletriche e dentali influenzano negativamente l’umore di chi ne soffre, perché ci si sente molto a disagio nel sorridere, parlare e relazionarsi con gli altri.
Ogni trattamento per la correzione delle malocclusioni nell’adulto deve quindi essere “individualizzato”, cucito su misura sulla base delle specifiche esigenze del paziente.
Per questo, prima di ogni trattamento è necessario effettuare lo studio del caso ortodontico, che prevede:
• fotografie del volto e dei denti del paziente
• radiografie (panoramica dentale e, in alcuni casi, la teleradiografia)
• modelli in gesso delle arcate dentarie.
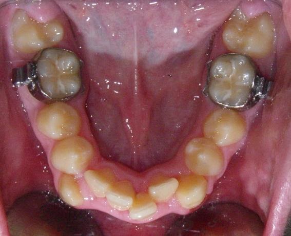
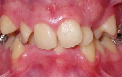
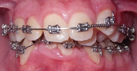
Dopo un’accurata diagnosi, quindi, l’ortodontista può definire un corretto piano di trattamento e scegliere l’apparecchio da utilizzare, di tipo classico con stelline fisse (anche bianche, in ceramica) o di tipo invisibile con allineatori o, ancora, ortodonzia linguale.
Quante e quali soluzioni ortodontiche si possono offrire in età adulta?
Quando il paziente è un adulto, oltre alle esigenze funzionali di un apparecchio ortodontico subentrano anche esigenze estetiche. Le nuove tecnologie odontoiatriche hanno introdotto sul mercato una grande varietà di apparecchi poco visibili, che stanno incoraggiando sempre più adulti a risolvere problemi di chiusura e di allineamento dentale.
Ortodonzia invisibile: è una tecnica che prevede l’utilizzo di mascherine dentali realizzate su misura per ogni paziente; è tra le tecniche preferibili per chi affronta un trattamento ortodontico in età adulta, perché offre numerosi vantaggi, oltre a garantire ottimi risultati. Il principio del trattamento consiste nel portare una serie progressiva di mascherine (‘’allineatori’’) che permettono di ottenere, via via, la correzione desiderata.

Vantaggi
• Completamente estetico, essendo quasi invisibile
• Rimovibile: si toglie e si riposiziona facilmente, quindi è comodo (ad esempio se non lo si vuole portare in un’occasione speciale)
• Pratico e facile da pulire, ma soprattutto permette di lavare i denti e passare il filo normalmente
• Efficace per la quasi totalità delle problematiche dentali
• Costo simile a quello di altri apparecchi
Svantaggi
• Poiché l’apparecchio è rimovibile, occorre essere collaboranti e indossarlo per circa 22 ore al giorno, togliendolo praticamente solo per mangiare e spazzolare i denti.
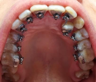
Ortodonzia linguale: prevede l’utilizzo di attacchi posizionati sul lato interno, “dietro” ai denti, quindi assolutamente non visibili.
Vantaggi
• Estetica superiore a tutti gli altri tipi di apparecchio ortodontico: non si vede minimamente dall’esterno!
• Attivo 24h su 24 in quanto fisso
Svantaggi
• Prodotto Premium Price
• Inizialmente richiede qualche tempo in più per abituarsi
• Necessita di controlli più frequenti, ogni tanto si può staccare un attacco.
Apparecchio in ceramica: sempre più diffuso, è ugualmente efficace rispetto agli altri tipi di apparecchio, ma si differenzia da questi ultimi per l’aspetto. È infatti realizzato in ceramica invece che in metallo e ha perciò un colore più simile a quello dei denti, rendendo mimetica la sua presenza bianco-su-bianco.

Vantaggi
• Estetica: molto meno visibile rispetto a quello in metallo
• Può essere utilizzato per tutti i casi, allo stesso modo di quello in metallo
Svantaggi
• Costa poco in più rispetto all’apparecchio in metallo
• È più delicato e si stacca una stellina qualche volta in più di quello in metallo.
Apparecchio in metallo, il cosiddetto apparecchio “tradizionale”: il più visibile, classico e intramontabile.

Vantaggi
• È ancora oggi il tipo di apparecchio più efficace per trattare i problemi di chiusura e disallineamento dentale
• È il più economico sul mercato
Svantaggi
• L’aspetto più ‘’visibile’’ non è apprezzato da tutti i pazienti.
• Occorre essere ottimi spazzolatori per tenere puliti i denti
Dott Ciro Turco

